🌊 Soła: 300 cm NORM ↘️ 1.0 cm

Fakty Oświęcim Fakty Oświęcim

System punktów · oswiecimskie.pl

Komentuj artykuły

+2 pkt za komentarz

Zgłaszaj zdarzenia

+5 pkt za zgłoszenie

Oceniaj treści

+1 pkt za ocenę

Wymieniaj nagrody

Bilety, zniżki i vouchery!

Strona 1491 z 2349 · 28180 artykułów

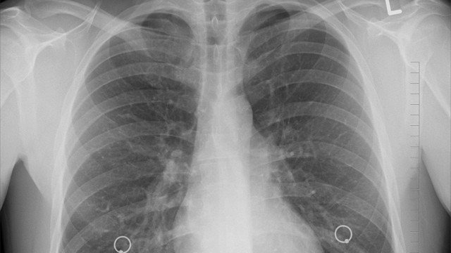
Sprawdź, czy masz zdrowe płuca

Osoby z terenów najbardziej zanieczyszczonych smogiem powinny sprawdzić stan swoich płuc. Najprostszym i...

(14)
7 lat temu

Aplikacja Oświęcimskie

Lokalny portal w Twojej kieszeni

Pobierz na iOS